Dental Implants
We at Dental Conceptz provide comprehensive dental implant solutions, ranging from single tooth replacements to full arch restorations, ensuring strong, natural-looking, and highly predictable treatments.

Dental implants are designed to provide a foundation for replacement teeth that look, feel, and function like natural teeth. Whether you need a solution for a single missing tooth, multiple missing teeth, or a full arch restoration, dental implants are the ideal option to maintain oral health and restore confidence.
Full Arch Implant

Full arch implants are used to replace an entire upper or lower arch of teeth. Strategically placed implants support a denture-like attachment, offering a natural feel and performance. This solution restores both function and aesthetics.
Multiple Tooth Implant

Multiple tooth implants are perfect for replacing several missing teeth. By placing implants side-by-side or at each end of a gap, a crown and bridge restoration is supported. This treatment mimics natural teeth in both function and appearance.
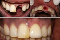
Single Tooth Implant

Single tooth implants replace a missing tooth without impacting neighboring teeth. This highly predictable solution acts like a natural root, supporting a crown while preserving the surrounding bone structure and teeth integrity.