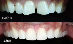
Cosmetic Dentistry

Cosmetic dentistry is concerned with the appearance of teeth and the enhancement of a person’s smile. Advances in dental materials and techniques have made great gains in cosmetic dentistry. There are many options to solve cosmetic dental problems like cracks, fractures, spaces in between teeth, irregular teeth, and dark teeth.
The Options Include:
- Veneers: Custom made ceramic shells that are designed to cover the front side of the teeth.
- Tooth Whitening: Also called bleaching to brighten the teeth, in case it is discolored, stained, or darkened because of injury.
- Bonding: Procedure which uses tooth color material (composites) to correct chipped, broken, cracked, stained, or for correction of spaces in between teeth.
- Tooth Coloured Posterior Fillings: If the decay is not deep, your dentist will remove the decayed portion of the tooth and then “fill” the area in the tooth with a filling material. The decision is based on function and aesthetics.